كۆكسى راكى
دوختۇر مەمەت ئېمىن
ئەمچەك راكى ياكى كۆكسى راكى (بەزىلەر كۆكرەك راكى دەپمۇ ئاتايدۇ) دىگىنىمىز ئەمچەك بەزلىرى راكىنىڭ قىسقارتىلمىسى بولۇپ، يامان خاراكتىرلىك ئەمچەك ئۆسمىسىنى كۆزدە تۇتىدۇ. بۇ كىسەلنىڭ مۇتلەق كۆپ قىسمى ئاياللاردا كۆرىلىدىغان بولۇپ، ئاز بىر قىسمى ئەرلەردىمۇ كۆرىلىدۇ.
ئەمچەك ئاساسلىقى ماي توقۇلمىلىرى بىلەن نۇرغۇنلىغان سۈت ئاجىرتىپ چىقارغۇچى كىچىك بەزلەردىن تۇزۇلگەن. بۇ بەزلەر كىچىك نەيچىلەر ئارقىلىق ئۆز ئارا تۇتۇشۇپ، ئەمچەك تۈگۈنچىسىگە توپلىشىدۇ. ئاياللار يەڭگىگەندە بۇ بەزلەر ئارقىلىق سۈت ئاجىرتىپ چىقىرىدۇ.
ئەگەر ئەمچەك راكى ئەمچەك بەزلىرىدىن باشلانغان بولسا، ئۇ ئەمچەك بەز راكى دەپ ئاتىلىدۇ. ئەگەر ئەمچەك راكى ئەمچەك بەز نەيچىلىرىدىن باشلانغان بولسا، ئۇ ئەمچەك بەز نەيچە راكې دەپ ئاتىلىدۇ.
ئادەتتە ئەمچەكنىڭ ماي توقۇلمىلىرىدا پەيدا بولغان راك ناھايتى كەم ئۇچۇرايدۇ. ئەمچەك راكى قان، لىمفا ۋە باشقا يوللار ئارقىلىق بەدەننىڭ باشقا جايلىرىغا تارقايدۇ، بۇ راكنىڭ كەڭىيشې دەپ ئاتىلىدۇ. ئەمچەك راكى كۆپۈنچى ھاللاردا ئۆپكىگە، سۆڭەككە، جىگەرگە ۋە مىڭىگە تارايدۇ. ئەمچەك راكىنىڭ داۋالاش ئۈنۈمى راكىنىڭ ئەتىراپقا تارقالغان ياكى تارقالمىغانلىغى بىلەن بىۋاستە مۇنسىۋەتلىك. ئەگەر راك ئەمچەكنىڭ ئۆزىدىلا چەكلەگەن بولسا ياكى ئەتىراپىغا كەڭەيمىگەن بولسا، داۋالاش ئۈنىمى ياخشى بولىدۇ.
ئەمچەك راكىغا مۇناسىۋەتلىك مەلۇماتلار
1. بالدۇر بايقالغان ئەمچەك راكىنى تولۇق داۋالاپ ساقايىتقىلى بولىدۇ.
2. ئەمچەك راكىغا گىرىپتار بولغۇچىلارنىڭ 5 يىل ئومۇر كورۇش نىسبىتى 90% ئەتىراپىدا بولىدۇ.
3. ئەرلەرنىڭ ئەمچەك راكى پۈتۈن ئەمچەك راكىغا گىرىپتار بولغۇچىلارنىڭ 5% نى ئگەللەيدۇ.
4. يىقىنقى يىللاردىن بۇيان ئەمچەك راكىنى داۋالاش جەھەتتە چوڭ ئىلگىرلەشلار بولۇپ ، بىمارنىڭ ئۆمۈرى كۆزگە كۆرۈنەرلىك دەرىجىدە ئۇزارماقتا.
ئەمچەك راكى قانداق پەيدا بولىدۇ؟
ئەمچەك راكىنى كەلتۇرۇپ چىقارغان ھەققى سەۋەپ تىخى ئىنىق ئەمەس، شۇنداقتىمۇ تىببى ئالىملار ئەمچەك راكى بىلەن مۇناسىۋەتلىك بىرقانچە خەتەرلىك ئامىللارنى ئىنىقلاپ چىققان.
تۆۋەندىكى ئامىللار كىشىلەرنىڭ ئەمچەك راكىغا گىرىپتار بولۇش ئىھتىماللىقىنى ئاشۇرىدۇ.
1. ياش: ئاياللار 50 ياشتىن ئاشقاندا ئەمچەك راكى بولۇش ئىھتىماللىقى 30 ياشلىق ئاياللارغا نىسبەتەن 8 ھەسسە ئارتۇق بولىدۇ.
2. بۇرۇنقى ئەمچەك راك تارىخى بارلار.
3. ئاھىلىسىدە ئەمچەك راك كىسىلى تارىخى بارلار. ئاھىلىسىدە بىرەرسى بۇرۇن ئەمچەك راكىغا گىرىپتار بولغان بولسا، بۇنداقلارنىڭ ئەمچەك راكىغا گىرىپتار بولۇش ئىھتىمالى يۇقۇرى بولىدۇ.
4. ھاراق قاتارلىق ئىسپىرىتلىق ئىچىملىكلەرنى كۆپ ئىستىمال قىلغان ئاياللارنىڭ ئەمچەك راكىغا گىرىپتار بولۇش ئىھتىمال يۇقۇرى بولىدۇ.
5. رادىياكتىپلىق نۇرلار بىلەن ئۇچۇرشۇش، ئاياللارنىڭ ئەمچەك راكىغا گىرىپتار بولۇش خەتىرىنى ئاشۇرۋىتىدۇ.
6. تاماكا چىكىش، ئاياللارنىڭ ئەمچەك راكىغا گىرىپتار بولۇش ئىھتىمالىنى ئاشۇرىدۇ.
7. كۆپ قىتىم ئەمچەك ياللۇغىغا ۋە باشقا ئەمچەك كىسىلىگە گىرىپتار بولغانلار.
8. ھاۋانىڭ بۇلغۇنۇشى ياكى بۇلغانغان ھاۋادا ئۇزۇن مۇددەت ياشىغانلار.
9. كۆپ قىتىم بالا ئالدۇرۋىتىش ياكى كۆپ قىتىم بالىسى چۇشۇپ كەتكەنلەر.
10. ھورمۇن بولۇپمۇ ئاياللىق ھورمۇن قاتارلىق جىنسى ھورمۇن دورىلىرىنى ئىشلەتكەنلەر.
11. بالدۇر ھەيىز كىلىش بولۇپمۇ تۇنجى ھەيىز 12 ياشتىن بۇرۇن كەلگەنلەر.
12. ھەيىز كىچىكىپ توختاش
13. بىر ئومۇر ئىغىر ئاياق بولماسلىق، ياكى كىچىكىپ ئىغىر ئاياق بولۇش.
14. ئىغىرئاياق بولۇشتىن ساقلىنىدىغان دورىنى ئىشلىتىش.
15. بالىنى ئىمىتمەسلىك.
توۋەندىكى بىر قىسىم ئامىللار ئاياللارنىڭ ئەمچەك راكىغا گىرىپتار بولۇش ئىھتىماللىغىنى توۋەنلىتىدۇ.
1. ياش ئغىر ئاياق بولۇش، يەنى 30 ياشتىن بۇرۇن ئغىر ئاياق بولۇش.
2. بوۋاقنى ئاپا سۇتى بىلەن ئىمىتىش، يەنە بالىنى ئەنئەنىۋى ئۇسۇل بىلەن ئەڭ كەم دىگەندە 6 ئاي ئىمىتىش.
3. ئەمچەك تازىلىقىغا ئالاھىدە ئەھمىيەت بىرىش، بولۇپمۇ بوۋاقنى ئىمىتىۋانقان مەزگىلدە، ئەمچەكنىڭ يالۇغلۇنىپ قىلىشتىن ساقلىنىش.
ئەمچەك راكىدا قانداك ئالامەتلەر بولىدۇ؟
ئەمچەك راكىنىڭ ئاساسلىق ئالىمىتى ئەمچەكتە يىڭى ئوسمىنىڭ تاسادىپى بايقىلىشى بولۇپ، دەسلىۋىدە ھىچقانداق بىئاراملىق ئالامەت بولمايدۇ.
راكنىڭ دەسلەپكى مەزگىلىدە بۇ تاسادىپى بايقالغان ئۆسمە ھەركەتچان بولۇپ، ياخشى سۇپەتلىك ئەمچەك ئۆسمىسىدىن پەرىقلەندۇرۇش ئانچە ئاسان ئەمەس. بۇنىڭلىق ئۈچۈن دوختۇرخانىغا بىرىپ ئەمچەكتىن توقۇلما ئىلىپ تەكشۇرۇش كىرەك. پەقەت شۇنداق قىلغاندا، ئاندىن ئىشەنچىلىك دىياگۇنۇزغا ئىرىشكىلى بولىدۇ.
ئەمچەك راكىنىڭ ئوتۇرا ۋە ئاخىرقى مەزگىلىدە ئەمچەكتە مىدىرلىتىش قىيىن بولغان يەنى ئەتىراپقا چىڭ تۇتاشقان ئۆسمە بولغاندىن باشقا، كىسەل تەرەپتىكى قولنى ھەركەنلەندۈرگەندە كۆكرەك ئاغرىش، بەزىدە ئەمچەكتىن ئاز مىقداردىكى قانلىق سۇيۇقلۇق ئاجىرلىپ چىقىش، قولتاقتا لىمفا بەز ئۆسمىلىرىنى بايقاشتەك ئالامەتلەر كۆرۇلىدۇ. يەنى بەزى كىسەللەر ئۆپكىنى رىنتىگىڭە ئالغاندا، ئۆپكىدە ئۆسمە بايقىلىدۇ. يەنى بەزى كىسەللەردە كۆكرەك سۆڭەكلىرى ئاغرىشتەك ئالامەتلەر بولىدۇ. بۇ ئاددەتتە ئاخىرقى باسقۇقتا كۆرىلىدىغان ئالامەتلەر بولۇپ، بۇ ۋاقىتتا دىياگۇنۇز قويۇش ئانچە قىيىن ئەمەس، بىراق داۋالش ئۈنىمى ياخشى ئەمەس. شۇڭا ئەڭ مۇھىمى ئەمچەك راكىنى بالدۇر بايقاش كىرەك.
ئەمچەك راكى بىلەن تۆۋەندىكى بىر نەچچە خىل كىسەللىكلەرنى پەرىقلەندۈرۈش بەك مۇھىم.
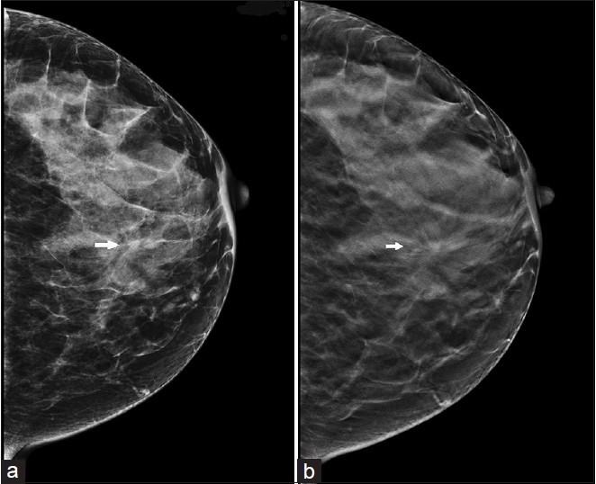
ئەمچەك راكىنى قانداق بايقىغىلى بولىدۇ؟
ئەمچەك راكىنىڭ داۋالاش ئۈنىمىنىڭ قانداق بولۇشى، راكنىڭ بالدۇر بايقىلىشىغا باغلىق. ئەمچەك راكى قانچە بالدۇر بايقالسا، داۋالاش ئۈنىمى شۇنكە ياخشى بولىدۇ. بالدۇر بايقاش ئۇچۇن 40 ياشتىن ئاشقان ئاياللار داۋاملىق ئۆز ئۆزىنى تەكشۈرۈپ تۇرۇش كىرەك.
تەكشۈرۈش ئۇسۇلى ئادەتتە ناھايتى ئاددى بولۇپ، ئوڭ قولىنى سول ئەمچىكىنىڭ، ياكى سول قولىنى ئوڭ ئەمچىكىنىڭ ئۇستىگە قويۇپ نورمال بىسىم بىلەن تەكشۈرۈش.
ئەگەر ئەمچەكتە ھەرقانداق ئوسمە بولسا بۇ خىل ئۇسۇل بىلەن ناھايتى ئاسانلا سەزگىلى بولىدۇ. بارمىقىڭىز بىلەن ئەمچەكنى موجۇقلىسىڭىز، خاتا نەتىجىگە ئىگە بولىسىز، بۇ ئەمچەك ئۆسمىسىنى بايقاشنىڭ توغرا ئۇسىلى ئەمەس.
ئەگەر سىز ئوز ئوزىڭىزنى تەكشۇرۇش ئارقىلىق، ئەمچىكىڭىزدىن ھەرقانداق گۇمانلىق ئۆسمىنى بايقىسىڭىز، دەرھال دوختۇرغا كۆرۇنۇڭ. دوختۇر سىزگە مۇناسىۋەتلىك تەكشۇرۇشلەرنى ئىلىپ بارىدۇ. ئۇ تەكشۈرۈلار ئىچىدە ئادەمگە ئالاھىدا زەخمە ئەكەلمەيدىغان ھەم نەتىجىسى بىر ئاز توغۇرا بولغان تەكشۈرۈش ئىنگىلىزچە مەموگىرام دەپ ئاتىلىدۇ.
ئىسىڭىزدە بولسۇن، ئەمچەك راكىغا ئەڭ ئاخىرقى دىياگۇنۇز قويۇشنىڭ ئۇسۇلى ئەمچەكتىن توقۇلما ئىلىپ تەكشۈرۈش بولۇپ، ئۇ ئادەتتە زەخمىلىك تەكشۈرۈش ھىساپلىنىدۇ. دوختۇر ئادەتتە چوڭ يىڭنە بىلەن ياكى كىچىك ئوپىراتسىيە قىلىش ئارقىلىق ئەمچەك ئۆسمىسىدىن ئاز مىقتاردا توقۇلما ئىلىپ، ئۇنى مىكراسكوپ ئاستىدا تەكشۈرۈش ئارقىلىق راك ھۈجەيلىرىنى تاپىدۇ. شۇ ئارقىلىق ئەڭ ئاخىرقى دىياگۇنۇزنى قويۇدۇ.
بەزىدە ئەمچەكتىن ئىلىنغان توقۇلما راك بولغان يەردىن ئىلىنماي ، باشقا نورمال ئەمچەك بەزلىرىدىن ئىلىنىپ قالسا، ئۇ ئىلىنغان توقۇلمىدا راك ھۈجەيرىسى بايقالمايدۇ. بۇنداق ئەھۋال ئاستىدا، ئالدىراپ ئەمچەك راكىنى ئىنكار قىلىۋىتىشكە بولمايدۇ. ھاجىتى بولغاندا يەنە بىر قىتىم قايتا تەكشۈرۈپ بىقىش كىرەك.
داۋالاش
ئەمچەك راكىنىڭ ئاساسلىق داۋالاش ئۇسۇلى ئوپىراتسىيە قىلىپ راكنى ۋە ئەتىراپىدىكى تارقاش ئىھتىمالى بولغان لىفا بەزلىرىنى كىسىپ ئىلىۋىتىش بولۇپ، ئوپىراتسىيەنىڭ ئۈنىمى راكنىڭ بالدۇر بايقىلىشى يەنى راكنىڭ ئەتىراپقا تارقىمىغان بولۇشى بىلەن بىۋاستە مۇناسىۋەتلىك. راك قانچە بالدۇر بايقالغان بولسا، راك ئۆسمىسى قانكە كىچىك بولسا ۋە ئەتىراپقا كەڭەيمىگەن بولسا ئوپىراتسىيەنىڭ ئۈنىمى شۇنچە ياخشى بولىدۇ.
ئۇندىن باشقا دورا، رادىياكتىپلىق نۇر ۋە ھورمۇن قاتارلىق داۋالاش ئۇسۇللىرى بولۇپ، بۇلارنىڭ ھەممىسى ئوپىراتسىيەنىڭ ئورنىنى ئالالمايدۇ. بۇ داۋالاش ئۇسۇللىرى ئادەتتە ئوپىراتسىيە بىلەن تەڭ ئىلىپ بىرىلىدۇ ياكى ئوپىراتسىيە قىلىش پۇرسىتى ئۆتۇپ كەتكەن، ئەخۋالى ناچار بولغان، ياكى ئوپىراتسىيە قىلدۇرۇشنى خالىمايدىغان بەزى كىسەللەرگە قارىتا ئىلىپ بىرىلىدۇ، بىراق ئۇنىمى ئانچە ياخشى ئەمەس. شۇڭا 40 ياشتىن ئاشقان ئاياللار، ئەڭ ياخشىسى قەرەلىك بەدەن تەكشۈرۈش ئىلىپ بىرىشى، كىسەلنى بالدۇر بايقىشى كىرەك.




